Dental Implants Gallery

Case 1
Case 2

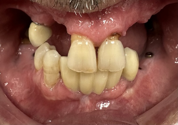
Before

During

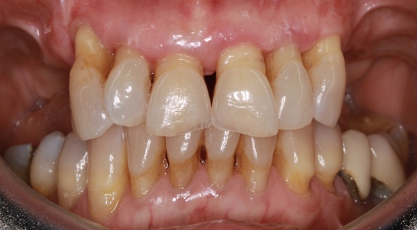
After

Case 3

Part 1

Part 2

Part 3

Part 4

Part 5

Case 3 (Digital)

Part 1

Part 2

Part 3

Part 4

Part 5